踝关节解剖学:为何如此重要?

介绍

踝关节是一个复杂的结构,使我们能够站立、行走和移动。了解踝关节的解剖结构对于诊断或治疗任何踝关节疾病至关重要。如果不了解踝关节的组成,任何医疗专业人员都无法确定哪个结构受伤或发炎。因此,在本文中,我们将揭示构成踝关节的结构的基本事实。

踝关节解剖:结构

您的踝关节是工程学的奇迹,由几个重要的组成部分组成,这些组成部分协同工作以支持您的运动。以下是构成您踝关节的要素分解:

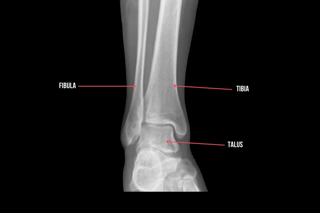
踝关节解剖:结构

将您的踝关节想象成连接您的小腿和脚的桥梁。涉及的主要骨骼是胫骨(小腿骨)、腓骨(腓骨)和距骨(踝骨)。它们共同形成一个坚固的结构,使您可以轻松地行走、跑步和跳跃。它们是踝关节解剖的基础。

韧带

想象一下,有细小的绳索将您的踝关节连接在一起。这些就是韧带,它们在保持踝关节稳定方面起着至关重要的作用。它们可以防止您的踝关节向内或向外过度滚动,从而降低扭伤的风险。

踝关节内侧(内侧)的 5 条重要韧带,被称为三角韧带,包括:

  • 胫跟韧带——连接胫骨和跟骨
  • 距舟韧带——连接距骨和舟骨
  • 前胫距韧带——连接胫骨和踝关节前部的距骨
  • 浅层和深层后胫距韧带——均连接胫骨和踝关节后部的距骨

踝关节外侧(外侧)有 3 条主要韧带:

  1. 前距腓韧带——连接腓骨和踝关节前部的距骨
  2. 后距腓韧带——连接腓骨和踝关节后部的距骨
  3. 跟腓韧带——连接腓骨和跟骨

肌腱

肌腱就像连接肌肉和骨骼的强力橡皮筋。跟腱是整个踝关节解剖结构中最大的肌腱,它连接小腿肌肉和跟骨。当您行走或跑步时,它可以帮助您蹬地。踝关节周围的其他重要肌腱包括:

  1. 胫骨前肌腱
  2. 胫骨后肌腱
  3. 趾长伸肌腱
  4. 趾长伸肌腱
  5. 腓骨长肌腱
  6. 腓骨短肌腱
  7. 拇长屈肌腱
  8. 趾长屈肌腱

肌肉

您的踝关节由一个肌肉网络提供动力,这些肌肉协同工作以使您的脚上下移动。包括腓肠肌和比目鱼肌在内的小腿肌肉可帮助您向下伸展脚趾(跖屈),而腿前部的肌肉(如胫骨前肌)可帮助您抬起脚趾(背屈)。上述每条肌腱都与其各自的肌肉相连,它们共同协作以控制您的脚和踝关节的运动。

了解踝关节解剖结构的重要性

了解踝关节解剖结构的基础知识对于每个人都至关重要,而不仅仅是运动员或医疗保健专业人员。通过了解踝关节的结构及其功能,您可以:

结论

正如您所了解的,您的踝关节是卓越的结构,使您能够优雅自如地移动。通过深入了解踝关节的解剖结构和功能,您可以体会到妥善护理踝关节的重要性。无论您是走路、跳舞还是仅仅站立,您的踝关节都在努力工作,支撑着您的每一步。因此,请花点时间感谢您的踝关节所做的一切,并记住以应有的友善和关怀对待它们。

杰基·泰的照片

杰基·泰

首席足病医师,荣誉足病学学士。专注于提升足部及下肢健康的足部与下肢专家。

把这个分享给你认识的人

搜索

您可能还喜欢

有问题吗?请咨询我们...

搜索

有问题吗?请咨询我们...

您可能还喜欢

关于我们

条件

治疗

脚踝

膝盖

儿科疾病

风湿病学

皮肤与指甲

糖尿病足

脚跟痛

足部疼痛

足底筋膜炎

跟腱炎

扁平足

高拱足型

足弓疼痛

拇趾外翻

拇趾僵直症

腱骨炎

足底板损伤

跖骨痛

足下垂

跗管综合征

巴克斯特神经卡压

钳状趾与锤状趾

跟骨刺

莫顿神经瘤

副舟骨

踝关节损伤

后胫骨肌腱功能障碍

慢性踝关节扭伤

急性踝关节扭伤

踝骨穹隆损伤

踝关节撞击症

膝盖疼痛

跑者膝

跳跃者膝

半月板撕裂

髂胫束综合征

膝关节骨关节炎

儿童扁平足

内八字步态

踮脚走路

膝内翻

儿童足跟痛

青少年拇趾外翻

骨软骨病

科勒氏病

伊塞林病

奥斯古德-施拉特病

类风湿性关节炎

痛风

真菌性甲癣

足底疣

嵌甲

真菌性皮肤病

鸡眼和茧子

糖尿病性周围神经病变

糖尿病足溃疡

外周动脉疾病

夏科足